In primo piano
Ultime novità
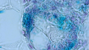
Simulato con un supercomputer l'intero ciclo vitale di una cellula
E' la prima volta. Si potranno capire processi chimici complessi
Due violinisti in contatto virtuale grazie a robot indossabili
Utili per allenare coordinazione e collaborazione, ma anche per la riabilitazione motoria
I raggi X rivelano la più antica mappa del cielo notturno fatta da Ipparco
Le prime indagini dimostrano che non fu copiato da Tolomeo
Eventi in tutta Italia per la Giornata internazionale della Matematica
Il 14 marzo, dalle cifre del Pi Greco, ma eventi in programma già da oggi
Un lampo cosmico fa luce sull'origine degli elementi pesanti
La distruzione come catalizzatore della formazione degli elementi
Le lune dei pianeti nomadi potrebbero essere ospitali per la vita
Con acqua liquida in superficie per miliardi di anni
In una mappa genetica i cambiamenti del cervello che invecchia
Comprende 900mila cellule e fa luce sulle malattie neurodegenerative
Costruita una molecola impossibile, non esiste in natura
Atomo per atomo, simulata grazie a un computer quantistico
Un francobollo per Fermi, nei 100 anni della sua fisica statistica
Presentato all'Accademia dei Lincei, come l'articolo del 1926
Effetto Trump sugli Ig Nobel, la premiazione si trasferisce in Europa
Ospiti internazionali sempre più restii a recarsi negli Usa
Antibiotici, gli effetti nocivi sul microbioma intestinale durano anni
Studio, per alcuni farmaci basta un solo ciclo per lasciare tracce fino a 8 anni
La siccità 'motore' delle migrazioni in Somalia
Mina la sicurezza alimentare. Lo studio del Politecnico di Milano
Il primo computer quantistico Partenope diventa fra i più potenti al mondo
E' passato da 25a 64 qubit. Bernini: 'più forte l'ecosistema italiano della ricerca'
E' online la 'Google Earth' degli organi umani, per esplorarli in 3D
Immagini ad altissima risoluzione, utili per addestraRe l'IA
I virus dell'influenza seguono le rotte aeree, lo indica un modello matematico
Team di ricerca di Padova e Milano scopre una struttura di circolazione nascosta
L'intelligenza come una sinfornia, nasce dal coordinamento del cervello
Tutte le aree cererali collaborano all'unisono. Implicazioni anche per l'IA
Sciogliendosi, l'iceberg A-23a genera una scia di microalghe
Fotografata dai satelliti della Nasa, è alimentata dall'acqua di fusione
La sonda Dart della Nasa ha modificato l'orbita dell'asteroide attorno al Sole
E' una prima assoluta, il risultato può fare la differenza in caso di pericolo
Compie 10 anni Prisma, la rete italiana che sorveglia le meteore
Ne ha seguite 3mila, con oltre 80 fotocamere in tutto il territorio
Sonda della Nasa in caduta verso la Terra, rientro previsto per oggi
Si chiama Van Allen A e l'impatto è previsto sulle regioni equatoriali
Luna sempre più difficile per la Nasa, lacune nella sicurezza
Rilevate dall'Ispettorato Generale dell'Agenzia, manca un piano B in caso di emergenza
Scoperta una nuova forma di memoria nel cervello visivo ++ solo AWN
Consente di continuare a 'vedere' anche quando gli oggetti si nascondono
Per i robot un tatto ispirato a quello umano, a basso impatto energetico
Grazie a un sistema più efficiente ispirato a quello umano
Un collirio vivente per riparare danni alla cornea
Fatto di batteri che rilasciano una sostanza antinfiammatoria. Bene i test sui topi
Un asteroide di decine di centimetri all'origine dello sciame di meteore in Germania
Esperto, 'dimensioni non trascurabili'
La cocaina riprogramma il cervello favorendo la dipendenza
La scoperta apre la strada a possibili terapie farmacologiche
Il riscaldamento globale è accelerato negli ultimi 10 anni
2023 e 2024 gli anni più caldi dall'inizio registrazioni strumentali
Una sonda della Nasa in caduta verso la Terra, nessun rischio per l'Italia
Si chiama Van Allen A e pesa 600 chili. Esperto, è su una traiettoria equatoriale
Il terremoto nel golfo di Napoli avvertito lievemente in tutta l'Italia
Ingv, percepito dal Trentino alla Sicilia
Luna, la Cina ha individuato 4 siti per lo sbarco dei suoi astronauti
Previsto nel 2030, in un'area ritenuta di alto valore scientifico
Il nitrito dei cavalli nasce da un doppio meccanismo, come fischiare e cantare insieme
Permette di trasmettere più messaggi contemporaneamente
I primi organoidi del cervello che possono essere addestrati
Il primo test con un problema classico di equilibrio, utile per i futuri robot